In Business
-
Debra Ogston takes the helm at Bacchus Marsh Grammar
Bacchus Marsh Grammar is pleased to announce the appointment of its fourth and new principal from 2025, Mrs Debra Ogston. This is an exciting appointment…
-
Education redefined at Global Village Learning
Global Village Learning (GVL), formerly known as Gisborne Montessori School, is redefining education in the Macedon Ranges by empowering learners to build communities that positively…
-
Downsize to a bigger life at Lifestyle Communities
Lifestyle Communities is a world where downsizing your home means upgrading to a more vibrant life filled with unlimited possibilities. The Lifestyle Communities team are…
-
Why custom mouthguards matter to prevent dental injuries
Last week, I had a great time meeting with the Bacchus Marsh Football and Netball team. It was inspiring to see the community come together…
-
The IPC Health Care Finder Service can help you find the care you need!
Would you like assistance with daily tasks to help you stay in your home for longer? Are you struggling to understand and access aged care…
-
Downsize to a bigger life at Lifestyle Communities
Lifestyle Communities is a world where downsizing your home means upgrading to a more vibrant life filled with unlimited possibilities. The Lifestyle Communities team are…
-
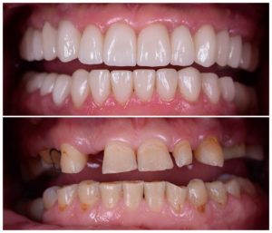
Dr Farooq leading the way in dentistry and gender equality
Dr Saba Farooq, a local dentist and owner of Main Street Dental Practice Bacchus Marsh, celebrates International Women’s Day (IWD) by reflecting on its significance…
-
Orthotropics – early intervention orthodontics for growing jaws
Orthotropics is the discipline of developing correct growth in children via non-invasive means. The ideal age for patients to start treatment is between 3-6 and…
-
Life. Unlimited.
At Lifestyle Communities, we believe in life without restrictions. One with the freedom to do the things you love, and the confidence to be whoever…
-
Doctor Bill Crawford loves his patients and his work
Doctor Bill Crawford is the senior associate dentist at Main Street Dental Practice Bacchus Marsh. Bill has an abundance of experience and knowledge, that’s why…
-
Treat hospitality staff with respect
Summer can be a great time for dining out, but it can be a hetic and difficult time for Melton and Moorabool residents working in…
-
Spruce up your outdoor living areas
As we approach the warmer months and the summer festive season in Melton and Moorabool, you may notice that your outdoor area is looking a…
-
Leap Real Estate offers a lifestyle win for renters
In an overdue win for renters, one Melbourne based real estate agency is giving families the opportunity to enhance their lifestyle and lower the cost…
-
Understanding sleep apnoea and potential solutions
Sleep apnoea is a serious sleep disorder characterised by repeated pauses in breathing while you sleep. These pauses can last for several seconds to minutes…
-
Embrace a life unlimited at Lifestyle Communities
At Lifestyle Communities we believe in life without restrictions, one with the freedom to do the things you love, and the confidence to be whoever…
















